We Go Deeper

Elevating patient care through advanced imaging techniques

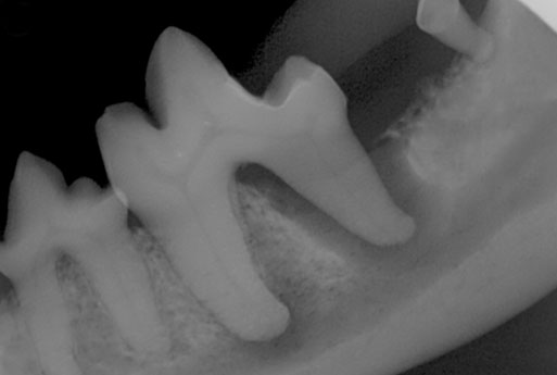
Dental x-rays are a 2-D projection of the bony structures that comprise the tooth and the bone supporting the roots. They give an overview of a region in the mouth, allowing for the evaluation of several structures at once. Taking x-rays during a procedure is an effective way to evaluate the progress of surgery. Additionally, we take postoperative x-rays each time we extract a tooth to document that region without the tooth present and to ensure no roots have been left behind. State-of-the-Art Dental Imaging See Beneath The Surface Imaging is a significant part of accurately diagnosing and treating your pet’s dental disease. The standard of veterinary dental care is to use full-mouth dental x-rays to evaluate the portions of the tooth below the gumline. More and more veterinary dental specialists are using Cone Beam Computed Tomography as a more thorough and comprehensive diagnostic tool. We are among the specialists who use this technology. Dental X-Rays

Cone Beam CT is a 3-D imaging tool that allows us to evaluate not only the teeth and supporting bones, but the entire skull (nose, upper and lower jaws, and jaw joints), including the soft tissues (lymph nodes, tongue, eyes, and ears). This enhanced comprehensive understanding gives us the ability to quickly and accurately diagnose and treat your pet. Using Cone Beam CT technology has allowed us to reduce the amount of time needed for imaging under anesthesia, as well as minimizing radiation exposure. It is a much more sensitive tool, enabling us to catch problems earlier and triangulate their exact location. Cone Beam Computed Tomography